Высшая аккредитационная категория МЗ Украины

Адресa:
г. Днепр,
ул. Космическая, 21
(Областной онкологический диспанцер)
Телефон:
+38 (097) 42-18-735
+38 (095) 50-57-151
Часи прийому:
Консультации нейрохирурга
Вторник, четверг с 15:00
Кабинет компьютерной томографии
2 этаж 9:00 - 15:00
Директор:
Зорин Николай Александрович
Web:
Лічильник:
49510 c 04.02.2008 г.
Основні послуги:
Комп`ютерна томографія (КТ), Магнітно-резонансна томографія, Нейрохірург, Хірург, Ендоскопічна хірургія, та інші.
Центр основан в 1997 году профессором, областным нейрохирургом Днепрой области, заслуженным врачом Украины, Лауреатом международной премии «Лавры славы» Зориным Николаем Александровичем.
За 10 лет работы центра проконсультировано более 6 тыс. пациентов. 4 тыс. пациентов прооперировано с положительным результатом.
В 2006 году Европейским центром маркетинга (Брюссель, Бельгия) Центру «Эндоскопическая нейрохирургия» присвоен сертификат №0065 за качественные медицинские услуги в сфере лучевой диагностики, эндоскопии, нейрохирургии.

В 2007 году центр награждён дипломом Победителя Национального бизнес–рейтинга с присвоением звания «Лидер отрасли» по основному направлению «Медицинская практика».

В 2016 году центром получен сертификат (Брюссель).

В 2019 году центром получен национальный сертификат.

В 2019 году центром получено звание "Компанія року".

Проводим диагностику и лечение грыж любой формы межпозвонкового диска с помощью метода лазерной вапоризации.

Метод лазерной вапоризации выполняется, как правило, в амбулаторных условиях с использованием местной анестезии + внутривенное потенцирование. Чаще для местной анестезии используется 1% раствор лидокаина.
Под воздействием лазерного луча на конце световода создается высокая температура (от 200 до 400oС). Это приводит к образованию газа и пара, который выходит наружу через просвет иглы. При этом понижается внутридисковое давление, диск как бы сморщивается и грыжа, под действием возникающего «вакуум-эффекта», а так же, эластичности сохранившихся слоев фиброзного кольца и задней продольной связки, втягивается.
В этом и состоит основной смысл лазерной вапоризации или нуклеопластики. Как правило уже в процессе выпаривания больные отмечают уменьшения боли в пояснице.

Данная процедура занимает около 20-25 минут, после чего больному даются определённые рекомендации по лечению и больной уходит домой без госпитализации в стационар.
85% - 92% положительный эффект от данного лечения у больных с вертеброгенным синдромом.
Также в центре проводится лечение больных с компрессионными патологическими переломами позвонков вследствии таких причин как:


Для лечения данных заболеваний применяется «пункционная вертебропластика» происходит от трех латинских слов: пункция - прокол, вертебрум – позвонок и пластика – восстановление. Дословно он означает - восстановление позвонка путем прокола.
Под этим следует понимать восстановление формы, размеров и функции позвонка, так называемым закрытым способом, то есть, без разреза кожи и других тканей (фасций, мышц и связок). Специальная игла вводится в больной позвонок путем прокола. Через иглу в позвонок под давлением нагнетается особый костный цемент, который восстанавливает форму и размеры позвонка, а так же, придает ему повышенную прочность и восстанавливает утраченную опорную функцию.

Обычно пункционная вертебропластика выполняется под местной анестезией. С целью улучшения обезболивающего эффекта больному внутривенно вводятся седативные (успокоительные) препараты и анальгетики. В ходе операции больной не спит и доступен речевому контакту. При наличии медицинских показаний или по желанию пациента возможно применение более глубокой анестезии с временным выключением сознания.
Уже через 20 минут цемент застывает полностью, что позволяет ставить больного на ноги. Поэтому, чаще эта операция выполняется амбулаторно, без госпитализации пациента. Исключение составляют больные с грубой соматической патологией, требующей стационарного наблюдения в течение нескольких суток.
Кабинет компьютерной томографии осуществляет диагностику следующих заболеваний:
переломы костей туловища, конечностей, черепа и позвоночника, опухоли костной и соединительной ткани, ложные суставы и т.д.

воспалительные заболевания, опухоли верхних и нижних дыхательных путей на самой ранней стадии заболевания, травмы: повреждения бронхов, травмы грудной клетки.
В частности магистральные сосуды туловища и конечностей, а также сосудов шеи и головного мозга. Метод исследования нетравматичен для пациента.

опухоли почек, мочевого пузыря на самых ранних стадиях; мочекаменная болезнь.

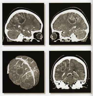
Объёмное образование головного мозга.

Исследование придаточных пазух носа, исследование среднего уха (в ЛОР практике).

Все вышеизложенные методы диагностики проводятся с помощью Мультисрезового спирального компьютерного томографа Toshiba (Asteion Super 4) - 26 декабря 2006 года выпуска, который находится на базе 19-й городской больницы.

Аппарат Toshiba Astieon Super 4: относится к системе 3 поколения с непрерывным оборотом трубки и наиболее подходит для исследования головного мозга и всего тела включая исследования сердечно – сосудистой системы. Многосрезовая технология системы Asteion позволяет получать действительно изотропные объёмные данные. Эта технология позволяет расширить применение КТ и значительно увеличивает диапазон исследований.
Высокое качество изображения и низкая лучевая нагрузка получается за счет эффективного использования дозовой нагрузки.
Томограф фирмы TOSHIBA позволяет не только ставить точный диагноз, но и эффективно лечить пациентов: являясь новатором в технологии КТ, фирма TOSHIBA первая разработала возможность КТ – рентгеноскопии в реальном времени ( КТ – флюороскопия). КТ – это навигация в реальном времени, т.е. специальная флюороскопическая программа дает хирургу возможность проводить пункцию или пункционную биопсию образований, следя за продвижением иглы на экране томографа в реальном времени. Это полностью исключает нежелательное повреждение жизненно важных структур и обеспечивает точность попадания в заданную цель с точностью до 1 мм. Уже сегодня специалисты Центра Эндоскопической нейрохирургии, первыми в Украине, успешно делают бескровные пункционные операции на позвоночнике под контролем компьютерного томотрафа, так называемые пункционная вертебропластика – это когда под контролем томографа в тело поражённого позвонка вводится специальный костный цемент, который через несколько минут застывает. Это эффективный метод предупреждения и лечения патологических переломов позвонков при гормональном остеопорозе и гемангиоме тел позвонков.


Лучевая нагрузка при исследовании на столько низкая, что можно безопасно обследовать даже грудных детей и беременных женщин. Скорость исследования в четыре раза выше, чем на обычном спиральном томографе и составляет считанные секунды. Это особенно важно для тяжелых больных и маленьких детей, которые не могут долгое время лежать неподвижно. Вес пациента не ограничен. Поскольку это исследование абсолютно безопасно, к нему может прибегнуть каждый, кто желает больше знать о своем здоровье. Специалисты томографа, а на нем работают, без преувеличения, лучшие врачи нашей области, подскажут, какое из исследований целесообразнее провести. Но, несомненно, лучший результат достигается тогда, когда пациента направляет лечащий врач, точно формулирующий задачу исследования.
Остання модифікація: 30 November 2025
Інформацію надал(а) Центр «Эндоскопической нейрохирургии» у виконанні ст.3 і ст.18 Закону про права споживачів.